by dogwebsitestg | Aug 19, 2021 | Cosmetic Dentistry
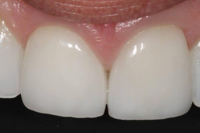
Veneers have become a popular solution for achieving a flawless “Hollywood Smile”. But what exactly are dental veneers, and who should consider them? At Dentistry on George, we provide porcelain and composite veneers tailored to your needs. Whether you’re...
by dogwebsitestg | Sep 11, 2020 | Dental Health, Health, Teeth
What Causes Bad Breath? Bad breath is a common problem to struggle with. In the mornings, it’s normal to experience bad breath, and it will usually go away with a drink of water and brushing your teeth. If the bad breath lasts throughout the day, or several days,...
by dogwebsitestg | Jul 6, 2020 | Dental Health, Health, Teeth, Tooth Grinding and Sleep Disorders
What is bruxism? Bruxism is a term for tooth grinding, which is the involuntary clenching or grinding of teeth. It most commonly happens when you are asleep (sleep bruxism) but can also happen when awake. Signs and Symptoms of bruxism Teeth ache in the mornings Teeth...
by dogwebsitestg | Jun 15, 2020 | Dental Care, Dental Health, Gum Disease, Health, Men's Health, Tooth Grinding and Sleep Disorders
This week is Men’s Health Week. Men in Australia live on average 4.3 years less than women. A baby boy born here in 2010 has a life expectancy of 78.0 years while a baby girl born at the same time could expect to live to 82.3 years old. Right from the start, boys...
by dogwebsitestg | May 5, 2020 | Dental Health, Health, Recipes
With most of us being at home a lot more, the temptation to snack and to ‘treat ourselves’ to our favourite vices has never been stronger. However, healthy eating is so important and should be an everyday habit and a lifelong commitment. Our dentist Mishari loves...