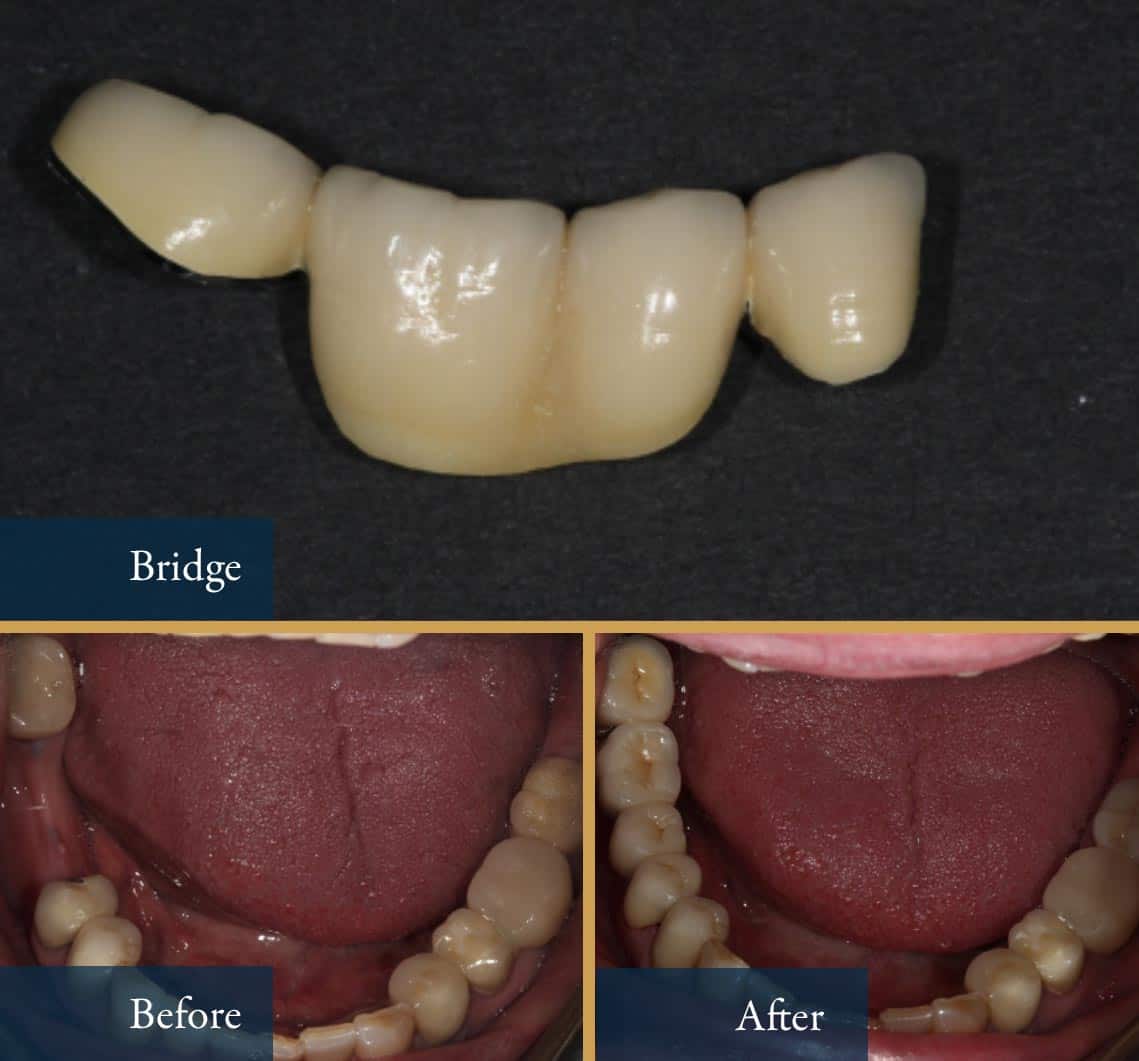
Dental Crowns & Bridges
Dental crowns and bridges are popular solutions to restore damaged or missing teeth. Our custom-fitted dental bridges and crowns are made of the highest quality materials at local Australian laboratories.
Improving the appearance of the tooth and protecting it from further damage are just some of the benefits of dental crowns. If you have lost one or more teeth, whether due to disease or trauma, we can help you restore the look and function of a healthy set of teeth with dental bridges.
Dental bridges and dental crowns – what’s the difference?
What is a dental implant crown?
A dental implant crown attaches on to a dental implant, not a tooth (as in a conventional crown). These are used to replace missing teeth. This can be one individual tooth (as shown above), or it can be multiple teeth.
The implant attaches to the jaw, so does not rely on support from the adjacent teeth. The implant crown is then placed on top.
Implants are great solutions for patients who do not want bridges or dentures. Implants will feel the most like natural teeth as they are much less bulky than dentures and do not attach to adjacent teeth like bridges.
Read more on our Dental Implants page.
Frequently Asked Questions
Are there any alternatives to crowns?
Onlays are like crowns in that they’re made in a dental lab of similar materials and are then cemented onto a tooth. Where they differ is that they’re much more conservative of the tooth structure. Where it’s possible, we’ll always try to use an onlay over a crown.
Are dental crowns noticeable?
Porcelain crowns are nearly indistinguishable from real teeth. When you get porcelain crowns put in, we’ll always match the colour to your other teeth for a natural look. Many people also decide to undergo teeth whitening when getting dental crowns. If this interests you, we can plan your entire treatment with you to get the smile of your dreams.
How long does it take go get my crowns in?
Getting dental crowns requires two appointments at our clinic. Between these appointments, your crown is prepared at a local dental lab. We can book in both appointments as soon as you decide on the treatment.
Are dental crowns safe?
Dental crowns have been around a long time, making them a very safe and reliable treatment option.
How much do dental crowns and bridges cost?
The cost of crowns and bridges will depend on each case, but we always inform you fully of the final price before starting any treatment. At Dentistry on George, we take pride in doing quality work and getting it right the first time. Crowns can easily last up to 20 years, twice as long as a filling, bringing down the cost over time.
What to expect when getting dental crowns or bridges
Getting your new dental crowns or bridges in place usually takes two visits to our Brisbane CBD clinic. We can book in both your appointments straight away, so you get your desired results sooner. Before beginning any treatment, our team will fully consult you on all options. We help you find the solution that matches your needs best, never recommending treatment that isn’t necessary.
Read More Here
On your first visit, the tooth needing a crown is prepared and a digital 3D scan is taken and sent to the lab technician. You will get a temporary crown made at the same visit. On your second visit, we’ll try the crown for fit, comfort, and aesthetics and then cement it in. You’ll usually be under local anaesthetic for your comfort.
If you’re getting a porcelain crown, we’ll always match the colour to the rest of your teeth. Many people like to choose a lighter colour and get their natural teeth whitened at the same time. This is something we can include in your treatment plan from the start.
Your comfort and health are our priority. Whether you’re coming in for a quick check-up or extensive treatment, our team goes above and beyond to create a relaxing and trusting environment. It’s our vision to make every dental experience a positive one!
We strive for excellence in both our dental care results and customer service. Our team takes the time to listen to your questions and worries, making sure you’re comfortable throughout your appointment. We want to see every client leave our clinic with a smile.
The Dentistry on George Difference

Quality Care

Family Owned & Operated
